面部反复疼痛?超声引导下微创穿刺技术一“招”缓解
拔除了发炎的牙齿,
但回家后没几天就开始面颊部疼痛、发热,
这是怎么回事?
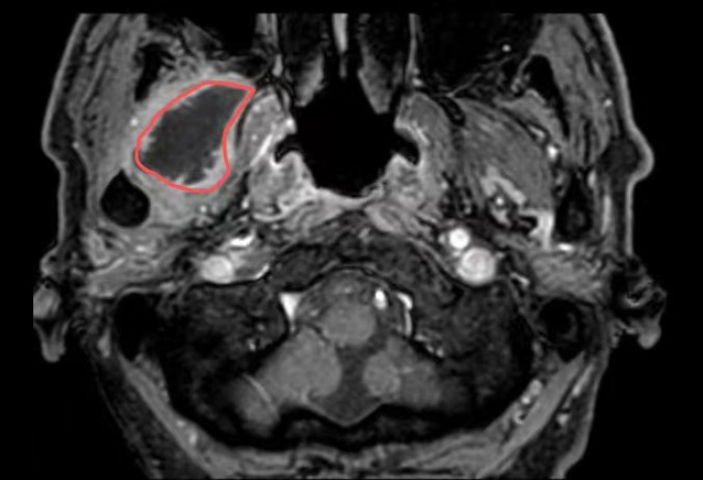
在亚洲色吧 超声介入科,徐斌主任就接诊了这样一位患者。一个月前,患者熊先生脸颊部隐隐作痛,到医院一查是牙齿发炎了,抗炎后熊先生拔除了发炎的牙齿。但是,回家后没几天,面颊部就又开始疼痛、发热。经过反复就医、检查、消炎止痛后做增强磁共振提示:右翼外肌及颞肌异常信号,考虑脓肿可能,相关科室的医生和熊先生说这个手术可能比较复杂,需要行开放性手术。

△磁共振提示病灶(红圈处)
考虑到开放性手术创口大,熊先生几经辗转后来到亚洲色吧 超声介入科寻求帮助。经过综合评估后,徐斌主任在局麻下为熊先生做了超声引导下右颞部肿物穿刺引流术。

为患者穿刺、抽吸脓液抽出的脓液中可见脓苔状物体
术后,脓液送检,顺利找到致病菌,检测出索氏密螺旋体、牙髓卟啉单胞菌、牙龈卟啉单胞菌等一些罕见的细菌,为进一步治疗提供了准确依据,MDT讨论后考虑熊先生此次颞部的感染与一月前的牙齿发炎有很大关系。术后第四天CT复查熊先生面颊部可见,病灶已基本被引流干净,于是医生为熊先生拔除了引流管,在巩固治疗几天后,即可出院。

△拔管后伤口(红圈处)
超声下微创穿刺技术在实时超声引导下,
可完成各种穿刺活检、引流、冲洗、注药治疗等一系列操作,
治疗时间短,副作用小,
具有创伤小、康复快等优势。
亚洲色吧 超声介入科
亚洲色吧 超声介入科是吴江区临床重点专科,常规开展甲状腺良性结节的活检及消融术,全身实质性脏器、肿块、淋巴结的活检,肝肾囊肿、脓肿的微创治疗、乳腺结节的活检及消融、全身恶性肿瘤的粒子植入等。
超声介入科 吴奕辰